随着网络的发展,患者通过微信、QQ等各种方式,寻找相应的医生给自己远程诊疗越来越方便;而医生通过各种网络平台进行远程病例讨论和会诊也越来越普及。但是,许多患者或医生翻拍这些影像学资料时,由于方式不正确,导致片子翻拍质量太差,无法使用。因此,解锁手机翻拍各种检查片子的“正确姿势”非常有必要!
错误示范


拍得太倾斜了

片子反光,背景无透射光

把片子直接贴在窗户玻璃上拍,窗户外面的风景透过片子拍入了照片上,图片的下半部分,可以隐约看到窗户外面的建筑,影响医生阅片,不能获取有价值的磁共振信息。
正确示范:使用以下简单实用的翻拍方法,能让你拍的图片质量大大提高
一、拍摄设备:像素较高的手机,或者数码相机,现在质量好一些的手机就可以,切记关闭闪光灯,关闭闪光灯,关闭闪光灯!!!
二、拍摄者着深色衣服,以防浅色衣服在片子上反光成像。

三、白天拍摄,窗户外光亮,室内关灯。
四、如果能在医院找到医生专用的观片灯(如下图),则较为较好选择。


医生专用观片灯
五、如果没有观片灯,准备一张白纸。

六、如果家里有电脑(台式机或笔记本电脑均可),也可以使用电脑显示器调白色后进行拍摄。使用电脑拍摄的时候,在电脑打开幻灯软件Powerpoint (PPT),新建一个空白文档,纯白色的,然后把该文档全屏播放模式下,即可实现全屏白色。

七、将白纸或白布贴于窗户玻璃上,然后将X光片或磁共振或CT片子贴于白纸或白布上。如果用的是电脑显示器翻拍片子,则按照上一条方法将显示屏变白色后,将片子贴于显示器上进行拍照。拍照时一定要正对着片子拍,注意横平竖直,拍端正了,不要拍歪斜了。




八、拍片子时,如果一张片子上有两张图像的时候,合起来拍一张,分开再各拍一张(如以下三张)



九、翻拍磁共振图像时,因为磁共振片子很大,而且一张片子上有很多图像(如下图),所以,单纯的拍一张片子,因为手机拍摄,像素以及翻拍质量不好,且放大后图像会发虚,细节看不清楚,所以,基本上是没用的,对于医生阅片来说,质量太差,不能获取图片上的有效信息。

十、因此需要将磁共振的一张片子,进行分区域局部放大拍摄,尽可能的将片子上的细节拍摄清楚,将一张磁共振片子进行分区。

十一、将分区的磁共振图像,按顺序进行拍摄,即可获取如下比较有价值的清晰图片

(区域1)

(区域2)

(区域3)

(区域4)

(区域5)

(区域6)

(区域7)

(区域8)
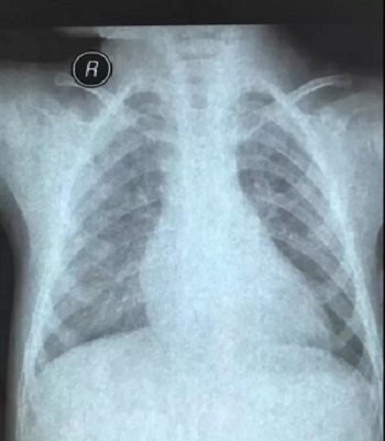
十二、拍摄时,尽可能的将片子上的文字信息拍摄清楚,并将左右拍摄清楚(片子上有标R,表示右侧right,L, 表示左侧left的意思), 每张片子上的文字都能按照阅读习惯拍正确,不要拍反了。


拍摄时,必须要对着片子上的文字对焦, 方向正确,将文字拍摄得清晰可视,保证放大图片后文字依然清晰可见(如下图),尽可能多的保留片子上的信息。

十三、CT片子的翻拍,请参考磁共振片子的翻拍,道理是一样的,先拍一张整图,然后再分区域进行拍摄。
十四、拍摄完毕后,进行编号,按顺序上传图片,记住,一定要原图上传,医学图像切记不要PS, 不要用美颜相机模式,不要用美图秀秀等手机PS和美图软件,曝光正确,拍摄方法正确即可。原图发送,原图发送,原图发送,重要话说3遍。本文中的图片,除了遮盖患者的姓名以外,均未再做任何其他PS处理。
十五、本篇文章中,片子上有患者姓名的地方,都进行了遮盖,这样做是为了保护患者的隐私。你给医生发的资料,包括片子,就不要遮盖了。医生同行们,在用手机翻拍片子的时候,也要尽可能的将片子上的信息都拍全了。不要遗漏,否则后期整理图片的时候,就不知道这个片子是谁的了。
十六、如果有可能的话,在做磁共振、CT等检查的时候,直接跟放射科医生说,需要原始数据光盘,一般的医院,都会提供,但需要单独另行付费,这个费用是非常值得掏的,因为光盘上的数据和图像,对于后期医生会诊及浏览图片来说,非常有价值,也便于保存,光盘里的图像质量也非常好,无需再翻拍,可以直接用于网络传输、问诊及会诊。
本院医生亲诊
电话咨询
028-68760707