近日,成都西南脑科医院的“走廊课堂”现象引起了大家的关注。这种及时讲解的形式更受到该院医护人员及住院患者的欢迎。这不,成都西南脑科医院一病区主任、神经外科贾映海教授在例行查房时提到了神经影像“熊猫征”,笑呵呵地问:“你们知道熊猫征吗”?

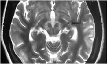
在查房的间隙,贾映海教授便在走廊里继续开讲起“走廊课堂”——“何谓熊猫征”来。贾映海教授说,“熊猫征”主要有“大熊猫脸征”和“小熊猫脸征”。其中,“大熊猫脸征”,红核在T2WI上呈现对称性的低信号,为大熊猫的眼,红核周围的内侧丘系、大脑脚上部、红核脊髓束及皮质脑干束神经纤维受累表现为T2高信号, 构成大熊猫脸上半部白色的轮廓;而双侧上丘、中脑导水管周围灰质神经核团正常的短T2信号及中脑导水管的长T2信号构成了大熊猫脸的下半部。


贾映海教授接着说,“小熊猫脸征”,中脑下部层面的双侧大脑脚、 上丘、 导水管、 导水管周围灰质核团、中央上核等构成了小熊猫脸的大体结构, 而双侧受累而呈长T2 信号的红核周围纤维束与短T2的中央被盖束勾勒出小熊猫的双眼。

贾映海教授说,熊猫征绝大多数为Wilson病(肝豆状核变性)的典型特征,也有个案报道见于Leigh病(亚急性坏死性脑脊髓病)。
其中,Wilson病,是一种遗传性铜代谢障碍所致的肝硬化和以基底节为主的脑部变性疾病,出现震颤、肌张力障碍、语言障碍、眼部损害等症状。
Leigh病是线粒体脑肌病中的一种,为婴儿或儿童期进行性神经变性疾病,临床表现为进行性精神智能和运动能力倒退,四肢无力,共济失调,惊厥,喂养困难,呕吐,视力、听力减退,眼球运动障碍及其它颅神经损害。
医生链接:贾映海

主任医师,成都西南脑科医院神经外科。成都市有突出贡献的优秀。成都中医药大学兼职教授,泸州医学院兼职教授、硕士研究生导师,中华医学会四川省和成都市神经外科专委会委员,四川省和成都市两级医疗事故鉴定委员会委员、四川省和成都市劳动鉴定委员会委员、成都市干部保健委员会组。1988年毕业于华西医科大学,从事神经外科临床、教学和科研30余年来,先后多次评为成都市优秀共产党员、“十佳”服务明星、“四优”医务工作者,获四川省中医管理局科技进步三等奖一项,成都市政府科技进步二等奖一项、三等奖二项,成都市卫生局优秀新技术一等奖三项,二等奖二项;共发表论文三十余篇,参与著书二部。
擅长:擅长三叉神经痛、面肌痉挛、面瘫、脑血管病、颅内肿瘤、脑动脉瘤等神经疾病的神经外科治疗。
本院医生亲诊
电话咨询
028-68760707